最近,郑州大学第三附属医院接诊了一名13岁的女孩,因挤痘痘引发败血症,出现发烧胸痛,差点要命!医生紧急提醒:脸上的痘痘千万不能挤!
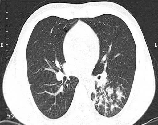
该名女孩脸上前额上长了一个疖肿,以为把疖肿挤出就会好,结果用力挤压后,造成眼眶感染,细菌进入血液循环,在血液内大量繁殖,引起了败血症。除了发烧之外,这些毒力很强的金黄色葡萄球菌种植到了肺部,引起了十几个空洞。
挤痘痘对于很多爱美女孩都有过这样的经历。脸上长了青春痘,这个痘痘多数都是由于局部细菌感染导致,只要保持局部清洁,过几天就会被自愈。如果用外力挤压,就会把这些细菌挤压入血,当细菌的毒力足够强,数量足够多时,就会引起菌血症,当细菌在血液内大量繁殖,人体的免疫系统无法将它们杀死的时候,就会引起发烧、甚至形成细菌在多处组织器官种植,形成脓肿病灶,引起严重的败血症。
如果痘痘长在面部的危险三角区,由口角两侧至鼻根区的三角区,这里血液循环非常丰富,一旦有细菌感染,被挤压后会通过静脉直接进入颅内静脉海绵窦,会引起颅内感染,后果更加严重。
医生建议,青春期女孩要注意生活规律,减轻压力,避免熬夜,才能减少痘痘的出现。如果青春痘较多,建议到正规医院就诊治疗,千万不能自行挤压,以免引起不必要的麻烦。
